Go to myBenU
LinkedIn Instagram Twitter YouTube Facebook
hand holding a wand doing diagnostic medical sonography work

Diagnostic Medical Sonography

COLLEGE OF SCIENCE & HEALTH

ultrasound machine, image has white overlay; diagnostic medical sonography

Diagnostic Medical Sonographers use high-frequency sound waves (ultrasound) to produce dynamic visual images of organs, tissues and blood flow inside the body.

Sonographers work closely with physicians by providing diagnostic images and a summary of technical findings to aid in reaching a medical diagnosis. This is a non-radiation modality, and it may be used on any patient, from unborn babies to the elderly. Sonographers may work in a hospital, a clinic, a physician’s office, education, sales or as an applications specialist.

walkway between Kindlon and Goodwin on the Lisle campus with gray film over picture
medical professionals looking at x-ray images hanging on light board; diagnostic medical sonography

Students in the diagnostic medical sonography program have the opportunities to:

Perform diagnostic sonography procedures and obtain sonographic diagnostic images.
Use independent judgment in recognizing the need to extend the scope of a procedure according to diagnostic findings.
Provide an oral or written summary of the technical findings to the physician for medical diagnosis.
Collaborate with members of the health care team to analyze technical information.
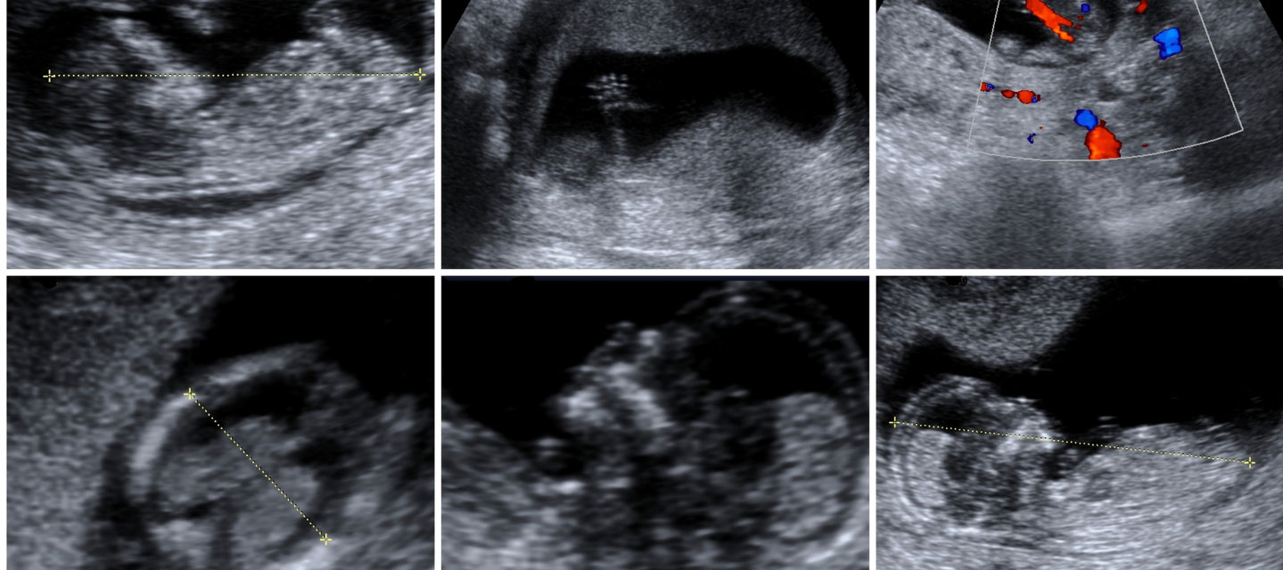
six sonographic images of a of an infant; diagnostic medical sonography

How does the program work?

In Diagnostic Medical Sonography, you will complete your first three years of course work at Benedictine University. You should complete all college graduation requirements during these three years while maintaining a GPA of 2.8 or above. During your junior year, you apply to Northwestern Memorial Hospital for your clinical education. The admissions process is competitive. During your senior year, you will complete an 18-month, 45-semester-hour clinical education curriculum at Northwestern Memorial Hospital.

Cropped close up of a bearded male doctor operating ultrasound scanner at the clinic technology profession occupation job device medicine medical science research diagnosis sonogram sonography modern
Female medical technologist using equipment - allied health programs

B.A. in Biology

When you complete this curriculum, you will be awarded the B.A. in Biology-Allied health, and a certificate of qualification as a diagnostic medical sonographer. ​Students are eligible to be certified through examination by the national certifying agency, American Registry for Diagnostic Medical Sonography. Students are prepared to take the Sonography Principles and Instrumentation, Abdomen and OB/GYN examinations.